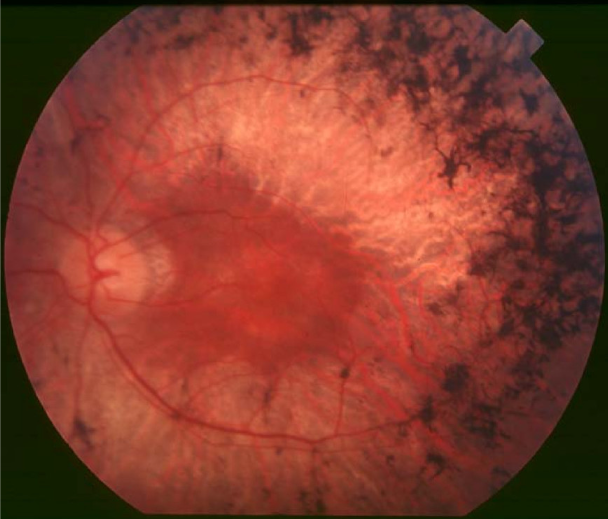
Retinitis pigmentosa (tavuk karası), retinayı etkileyen genetik geçişli bir grup hastalığa verilen ortak bir isimdir. Retinitis pigmentosa ismi bu hastalıkların tipik özelliği olan pigment birikimlerinden kaynaklanır. Retinadaki ışığı yakalayan ve işleyerek görmeyi sağlayan fotoreseptör tabakasının dejenerasyonuna yol açar ve ilerleyici görme kaybı ile sonuçlanır. Aşağıda ki resim de ilerlemiş bir gece körlüğü hastasının fundus fotoğrafı görülmektedir.

Belirtilerin ortaya çıkma yaşı kalıtsal tip ile ilgilidir. Hastalık ilerledikçe hastalar etraf görmelerini tamamiyle kaybederler ve adeta bir tünelin içinden bakarmış gibi bir görmeye sahip olurlar. İlk başta gece görme etkilenirken zamanla gündüz görme de etkilenir. Santral görme uzun bir süre bozulmadan korunur. Ancak bu hastalarda ek olarak yüksek miyopi, katarakt oluşumu, kistoid maküler ödem ve yüzey kırışıklıkları gelişerek, görme kaybına sebep olabilir. Bu hastalar da katarakt cerrahisi erken yapılmamalıdır.
Retinitis pigmentosa hastalarında elektrofizyolojik testler, bilgisayarlı görme alanı (BİGA) ve fundus floresein anjiyografisi uygulanabilir. Bir elektrofizyolojik test olan elektroretinogram’da (ERG) retinitis pigmentosaya özgü bulgular saptanır.
Hastalığı oluşturan nedenler tedavi edilemez. Ancak ek patolojiler için tedavi planlanır. Filtreli gözlük camları ve büyütücü yakın görme lensleri hastaların görmelerini daha faydalı kullanmalarını sağlar.
Ama son yıllar da KÖK HÜCRE TEDAVİSİ ile görmesini tamamen yitiren hastalar da başarılı sonuçlar elde edilmektedir.