OCT yani göz tomografisi anjionun aksine daha çok retinanın sinir tabakasını gösterir. Hem retina hastalıklarında hem de glokom hastalıklarının teşhisinde yeni bir çığır açmıştır.
Optik Koherens Tomografi (OKT), 840 nm’lik bir diod laser ışığı ile dokuların geri yansıtma özelliklerini kullanarak mikron düzeyinde, yüksek çözünürlükte retina yapısının incelenmesini sağlayan bir görüntüleme yöntemidir.
OKT dijital bir teknik olduğu için kantitatif ölçümler kolaylıkla kesitlerinden elde edilebilir. Kantitatif bilgilerin ulaşılabilirliği sayesinde de hastalığın seyrini izlemek OKT ile çok kolay olabilmektedir. Göz içindeki çok küçük boyutlardaki farklı yapılardan yansıyan ışınlar bu yapıların birbirinden farklı aksiyel boyutları hakkında bilgi verir. Retinal mimarideki veya hücre morfolojisindeki değişimler OKT üzerinde gözlenen optik özelliklerde değişimlere neden olur. OKT ile ölçülen retinal kalınlık, hastanın vizyonu ile korelasyon gösterir. OCT o kadar ince kesitler almakta olup neredeyse retinal biopsi gibi bilgiler vermektedir.
OCT çekerken hastaya herhengi bir ilaç verilmediği için ağrısız ve non invaziv olup defalarca çekilebilir. Bu yüzden retina ve glokom hastalıklarının teşhis ve tadavinii takibinde son derece faydalı bilgiler veirir.

Resim 1: Kliniğimiz de dünyanın en iyi ve hızlı OCT cihazı olan HEİDELBERG OCT cihazı kullanılmaktadır.

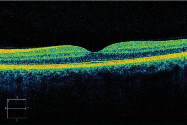
Resim 2: Yukarıda ki OCT görüntüsü normal makula yani sarı nokta görüntüsüdür.